突然爆炸!这个常见保鲜品暗藏危险!
冰镇冷饮冰淇淋
为冷链食物保鲜
干冰在日常生活中十分常见
但很多人不知道
干冰若储存、使用不当
便会“暗藏杀机”
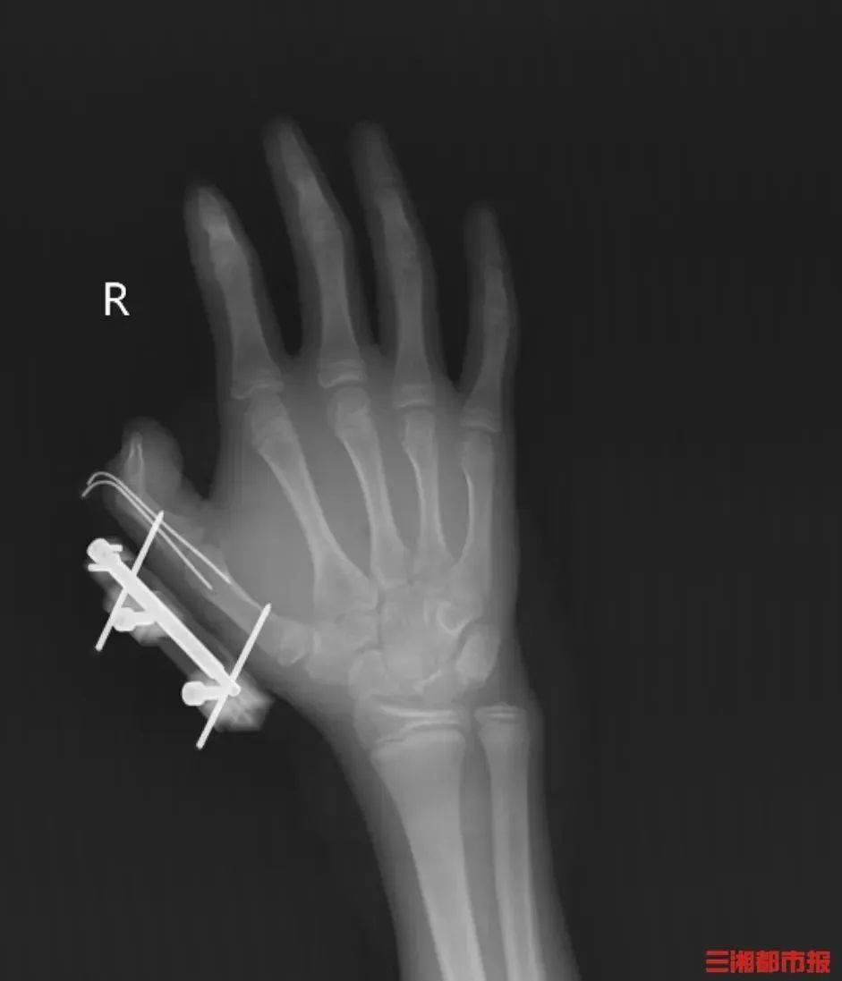
把干冰当玩具摇
14岁少年手指被炸得深可见骨
前不久,湖南一名14岁的少年维维(化名),在爸爸网购冰淇淋的箱子里发现了用于冷藏的干冰,便拿走当成玩具玩,捏在手里反复摇晃。
突然,密封袋里的干冰发生爆炸,维维的右手瞬间鲜血直流,拇指虎口处被撕开一道约10厘米的伤口,深可见骨,肌肉组织断裂外露,还伴随着拇指骨折、关节脱位,整个拇指完全失去知觉。

见状,家人赶紧带他到当地医院包扎,随后紧急转往湖南省人民医院手足显微外科。经治疗,维维的拇指保住了,但后续还需长期康复训练,才能慢慢恢复手部精细动作功能。
维维懊悔不已:“早知道干冰这么危险,我绝对不会去玩。”

展开全文

干冰不是“冰” ,爆炸威力堪比鞭炮
干冰,又名固态二氧化碳,通常为无毒无味的白色固体,形状不一。干冰在常温常压下,可以直接升华成二氧化碳气体,升华时体积膨胀约800-1000倍,加入热水后会急剧加速升华产生大量烟气。
湖南省人民医院手足显微外科主任陈建民介绍,如果将干冰装在密封袋里摇晃,随着气体不断增多,袋子承受不住压力就会爆炸,爆炸产生的威力是普通鞭炮的数倍,瞬间的杀伤力不容小觑。

干冰使用不当可能造成致命危险
爆炸
在密闭容器中使用干冰:干冰在常温下易转化为二氧化碳气体,导致密闭容器内压力升高,超过容器承受极限后产生爆炸。

图源:广东消防
在冰箱内放置干冰:干冰的升华温度约为-78.5℃,而冰箱冷冻室的温度在-4℃至-24℃之间,因此干冰放入冰箱后,会持续升华产生大量二氧化碳气体,致使冰箱内部压力过大,发生爆炸。

图源:广东消防
窒息
干冰升华后产生的二氧化碳气体会导致人呼吸困难,如果在较封闭的空间内,短时间就可引发窒息,危及生命。
冻伤
干冰是温度在-78.5℃以下的固态二氧化碳,直接接触皮肤会瞬间带走热量,非常容易造成冻伤,甚至导致皮肤坏死,重则伤及肌肉、骨骼。
事故案例
2024年夏,一男子在驾驶车辆时突感身体不适,几近昏迷。上海闵行公安分局碧江路派出所接到其妻子的异地报警,将男子送医急救。原来,该男子车辆后备厢中装了一箱冷饮,用干冰冷藏,因干冰发生升华,他在密闭车厢里吸入了过量二氧化碳,导致身体不适。

2024年9月,山东济南一8岁男孩将干冰塞到小瓶口的玻璃瓶里,不断摇晃,导致玻璃瓶突然发生爆炸。飞溅的碎玻璃扎进其左脸、头部、耳部及颈部血管,大大小小约30处伤口。

2024年6月15日,河南省平顶山市发生一起轻型厢式冷藏货车车厢内窒息亡人事故,造成8人死亡。调查报告显示,厢式冷藏车驾驶员违法让10名女工搭乘装有包装牛肉的厢式冷藏车,牛肉包装箱内放有干冰,干冰升华成二氧化碳气体,迅速进入车厢狭小空间内,造成空气中二氧化碳浓度骤然提升,致使其氧气浓度很快降低至可导致人体窒息死亡的极限浓度,8名女工在密闭车厢内滞留17分钟,造成缺氧窒息死亡。

如何安全使用和处理干冰?
别让孩子触碰
家长要把干冰放在孩子拿不到的地方,防止儿童因为其“烟雾缭绕”而好奇把玩,明确告诉孩子干冰不是玩具。
拒绝密闭空间
切勿将干冰存放在矿泉水瓶等密闭容器中,或保存在冰箱里;干冰要放置在通风良好的地方。
不要在汽车等密闭空间内存放使用干冰。
接触必戴防护
不要直接接触干冰,为避免冻伤,可使用防冻手套或夹子拿取干冰。
受伤立即就医
1. 当人体皮肤接触干冰后出现冻伤,应对周围皮肤热敷并使用冻疮膏进行处理,若冻伤情况严重,应及时就医。
2. 一旦被干冰炸伤,应马上就医,以免耽误治疗。
若干冰爆炸导致塑料、玻璃等包装碎片刺入身体,应使其保持原位并立即就医,盲目拔出可能加重损伤。

提醒:
收到干冰应通风放置妥善处理
密封存放或爆炸
徒手接触易冻伤
若不慎被干冰炸伤冻伤
请立即就医
来源:中国应急管理报融媒体工作部制作

评论